Across the United States, political polarization has deepened to historic levels. In a report published in May 2025, the Pew Research Center found that Americans are more divided and less trusting of one another than at any point in recent…
Category: Social Sciences
-

How museums can help rebuild trust in a divided America
-

Psychological traits that may fuel conspiracy theorist mindset identified
Conspiracy theories are one of the banes of the modern world, exacerbated by the internet and social media. What was once relegated to the fringe has now been pushed into the mainstream, actively shaping public discourse and policies. But why do…
Continue Reading
-

Human connection key to a successful holiday rental
New research has revealed that striking up a connection with the property host is the factor that drives repeat bookings on holiday accommodation platforms such as Airbnb.
Continue Reading
-

New year's resolutions? Add social fitness to the list
Did you know that social isolation and loneliness can be more harmful to your health than smoking 15 cigarettes a day? As we step into a new year, Dr. Troy Glover (Ph.D. ’00), professor and director of the Healthy Communities Research Network at…
Continue Reading
-

Just joined a dating app? Here's how to look after yourself and handle rejection
As the New Year rolls around, dating apps often see a surge in new sign-ups. Some are dipping their toes in for the first time, while others are rejoining with renewed hope of finding love after a break.
Continue Reading
-

Why you're wise on Tuesday and foolish on Sunday: Practicing wisdom in uncertain times
It’s that time of year when the internet turns into a giant group chat about self-improvement. New year, new you. Better habits. Better boundaries. A year older, and maybe wiser.
Continue Reading
-

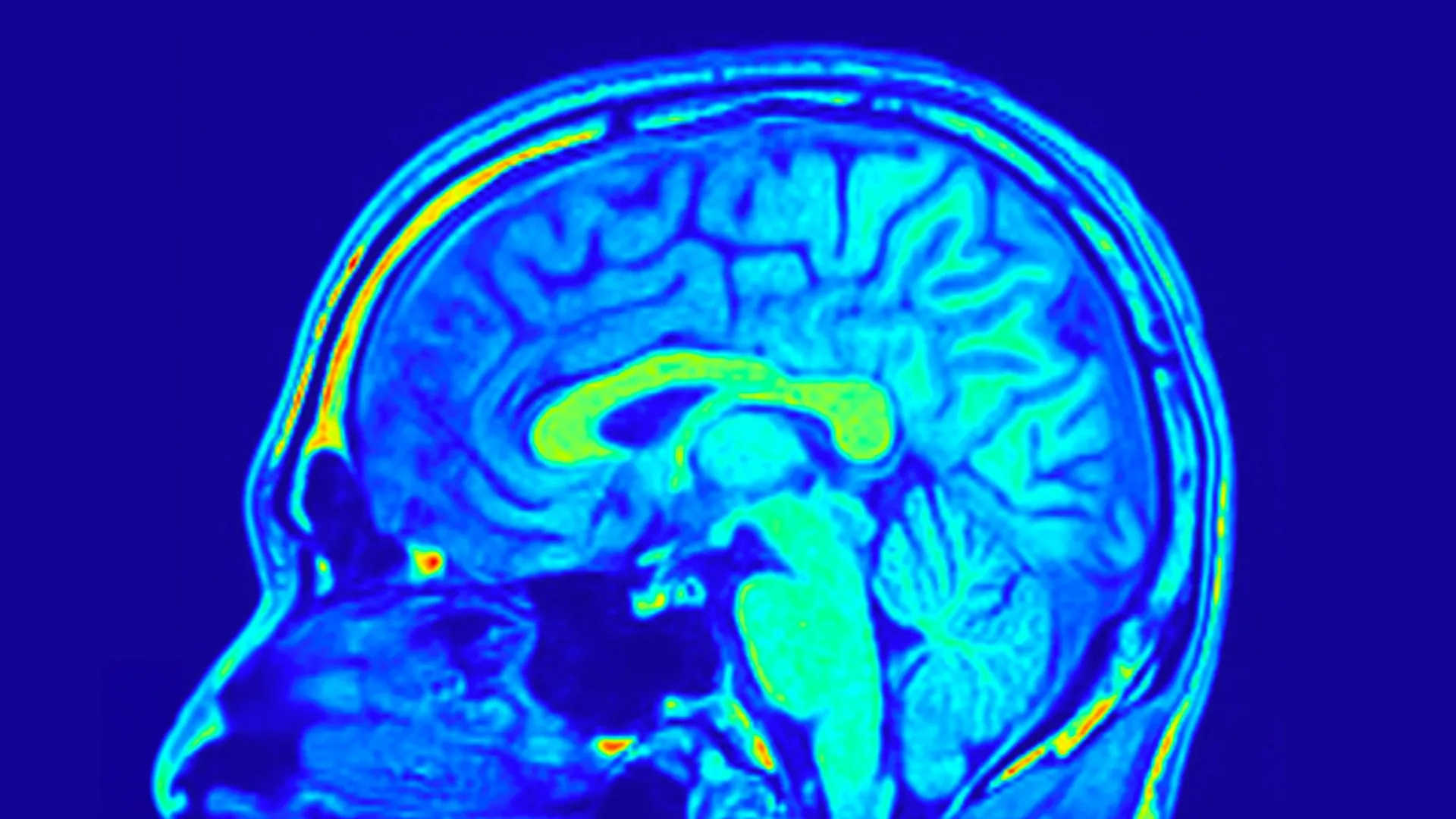
Brain scans may finally end the guesswork in depression treatment
Major depressive disorder (MDD) is a widespread and serious mental health condition that affects how people think, feel, and function in daily life. It is already a leading cause of disability, and researchers expect it to become the most common…
Continue Reading
-

Prevalence and associated factors of depression and anxiety in Saudi adults with type 1 diabetes: a cross-sectional study
Demographics
A total of 122 adults with type 1 diabetes were included in the analysis. The mean age was 29.4 years (SD 9.6; range 18–63), and 55.7% were female. More than half of the participants were single (55.7%) and the majority had attained…
Continue Reading
-
Pressure and coping strategies of caregivers of children with autism spectrum disorder in rural areas: a qualitative study
Roy, M. & Strate, P. Autism spectrum disorders in Adulthood-Symptoms, Diagnosis, and treatment. Dtsch. Arztebl Int. 120 (6), 87–93. https://doi.org/10.3238/arztebl.m2022.0379 (2023).
Google Scholar
Salari,…
Continue Reading
-
Lifestyle and demographic characteristics linked to driving simple reaction time
Asadamraji, M., Saffarzadeh, M., Borujerdian, A. & Ferdousi, T. Hazard detection prediction model for rural roads based on hazard and environment properties. Promet-Traffic Transport. 30 (6), 683–692 (2018).
Google…
Continue Reading
