Instead, the agency turned to Russia to launch the orbiter and rover on two Proton rockets and provide the descent system to deliver the rover to Mars. In exchange, ESA agreed to add Russian science instruments to the…
Latest Science News
-

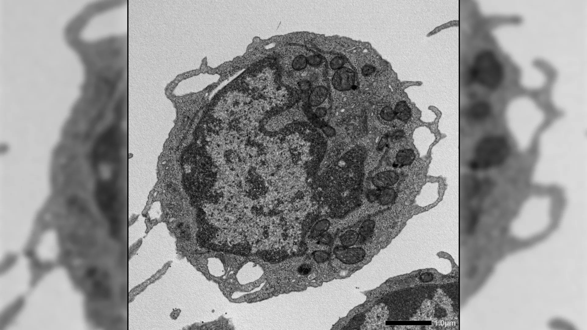
A “death” protein may be the key to slowing aging at its source
As people get older, their blood and immune systems gradually lose strength. A major reason is the decline of hematopoietic stem cells (HSCs), which are responsible for producing all types of blood cells. Under healthy conditions, these stem…
Continue Reading
-

Community-led ecotourism protects rebounding wild cattle in Thailand
The critically endangered banteng is making a comeback in Thailand’s Huai Kha Khaeng Wildlife Sanctuary, and has become a unique community-led conservation icon, reports Mongabay’s Carolyn Cowan. Thailand’s population of banteng (Bos…
Continue Reading
-

New leaders, new fund: Sequoia has raised $7B to expand its AI bets
Few venture firms have bet more aggressively on AI than Sequoia Capital, and it isn’t slowing down.
The Silicon Valley stalwart has raised roughly $7 billion for a new fund, according to Bloomberg. Sequoia declined TechCrunch’s request for…
Continue Reading
-

Scientists Finally Measured The Mind-Blowing Power of a Black Hole’s Jets : ScienceAlert
Black holes are among the most extreme objects in the universe. They can fling material outwards at speeds close to that of light, in powerful beams of plasma known as jets. These jets are thought to be among the most energetic phenomena in…
Continue Reading
-

Scientists Captured Light in a Trap 2,000 Times Thinner Than a Human Hair : ScienceAlert
Scientists have managed to trap beams of infrared light in a lattice of specially engineered atoms that’s just 42 nanometers thick. That’s around 2,000x thinner than a human hair or an even thinner sliver of a standard sheet of paper.
The…
Continue Reading
-

Why AI is becoming a powerful tool in cancer drug discovery
AI is no longer just a support tool in drug development. This paper shows how it could help build faster, smarter, and more personalized cancer therapies, while also exposing the scientific and regulatory hurdles that still stand in…
Continue Reading
-

Battery hits 99.98% efficiency, 2,000-hour dendrite-free run
Researchers at Hong Kong University of Science and Technology have developed a new material that could solve one of the biggest problems in lithium metal batteries.
The team has created a single-crystalline 3D borate covalent organic…
Continue Reading
-

Record-Breaking Map Charts Universe in 3D Like Never Before
Astronomers using the Dark Energy Spectroscopic Instrument (DESI) on NSF’s Nicholas U. Mayall 4-m telescope have produced the largest high-resolution 3D map of the Universe, tracing the positions of more than 47 million galaxies and…
Continue Reading
-
Comparison of the thermal and mechanical properties of concrete incorporating microencapsulated and macro-encapsulated phase change materials
Yu, H., Ma, H. & Yan, K. An equation for determining freeze-thaw fatigue damage in concrete and a model for predicting the service life. Constr. Build. Mater. 137, 104–116. https://doi.org/10.1016/j.conbuildmat.2017.01.042 (2017).
Continue Reading

