Humans aren’t the only creatures that need to snooze.
A peer-reviewed study by Bar-Ilan University researchers shows that sleep is an ancient process, dating back through evolutionary history, and an essential mechanism for survival —…

Humans aren’t the only creatures that need to snooze.
A peer-reviewed study by Bar-Ilan University researchers shows that sleep is an ancient process, dating back through evolutionary history, and an essential mechanism for survival —…


Hurricane named Helene smashed the Florida coast, bringing devastating rain and fierce winds. The havoc caused by that powerful event did not stop at ground level, however.
According to NASA, the International Space Station detected a previously…

PHOENIX — NASA says it is continuing to prepare for a possible Artemis 2 launch as soon as February, but with remarkably little publicity by the agency for the first crewed flight to the moon in more than 50 years.
In a presentation…

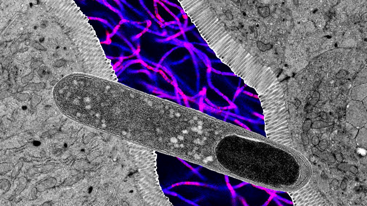
Among the diverse community of bacteria, fungi, and other microbes that call the human gut home, scientists have identified a bacterial species that can single-handedly and significantly reduce weight gain.
In a new study led by…

A new year might mean new viral threats.
Old viruses are constantly evolving. A warming and increasingly populated planet puts humans in contact with more and different viruses. And increased mobility means that viruses can rapidly travel…

Scientists have detected traces of plant toxins on Stone Age arrowheads that were used by hunter-gatherers in South Africa about 60,000 years ago.
The find marks the oldest known poison…

Mpox virus particles (purple) seem to be spreading more easily between people.Credit: NIAID/SPL
As mpox continues to spark localized outbreaks in Africa and, on occasion, in other parts of the world, researchers are racing to understand how the…

You have full access to this article via your institution.
…