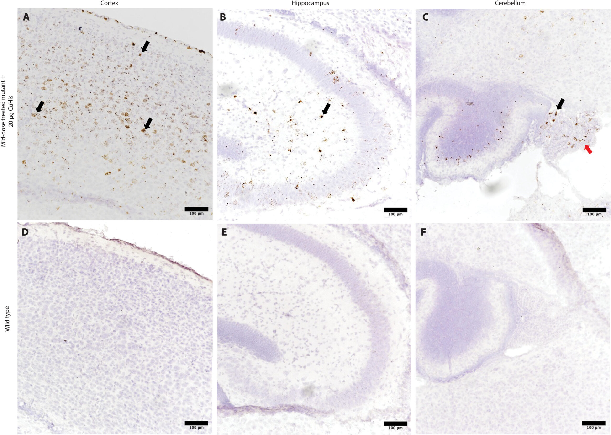
In 1962, a pediatric neurology resident at Columbia’s Neurological Institute and his colleagues in the College of Physicians and Surgeons published a detailed paper in Pediatrics describing a new syndrome of neurodegeneration in male infants.
Author: admin
-

Gene therapy may offer new hope for infants with rare, fatal disorder
-

Electrochemical system converts plant compound into two valuable products at once
A research team has created a new kind of electrochemical “two-in-one” system that turns plant-based molecules into two useful products at once. Using a finely tuned single-atom ruthenium catalyst, the process combines two chemical reactions,…
Continue Reading
-

Einstein’s Relativity And Hypothetical Particles Tested With Record-Breaking Black Hole Collisions
The international LIGO-Virgo-KAGRA Collaboration reports the observations of two record-breaking events in gravitational wave observations. They were detected in October and November 2024, and they might be a crucial step forward in our…
Continue Reading
-

How AI Saved NASA’s $10 Billion Webb Telescope From Blurry Vision
Sydney scientists fixed NASA’s James Webb Space Telescope without ever leaving Earth. Using AI-powered software called AMIGO, they eliminated image blurring caused by subtle electronic distortions. The fix restored the telescope’s full power…
Continue Reading
-

US firm’s 3D solar towers generate 50% more energy than flat panels
Texas-based Janta Power company is developing three-dimensional solar towers that generate roughly 50 percent more energy than standard flat-panel systems.
This tower-like design maximizes the use of space, fitting a far greater number of…
Continue Reading
-

Scientists discover a way simulate the Universe on a laptop
As astronomers gather more data than ever before, studying the cosmos has become an increasingly complex task. A new innovation is changing that reality. Researchers have now developed a way to analyze enormous cosmic data sets using only a…
Continue Reading
-

AI method pinpoints amino acids that control protein function and stability
With a newly developed method that compares AI-generated protein sequences with naturally occurring ones, function- and structure-regulating amino acids can be determined much more precisely than before.
Continue Reading
-

Sun’s far side erupts in satellite image photo of the day for Oct. 29, 2025
Late on Oct. 21, 2025, a spectacular coronal mass ejection (CME) erupted from the far side of the sun, an area currently dominated by the powerful and persistent Active Region 4246. The eruption occurred just after the active region had rotated…
Continue Reading
-

Geometry makes electrons sing in Kagome quantum crystals
Physicists found electrons synchronizing in star-shaped Kagome crystals, showing geometry can tune quantum behavior and shape material function.
Continue Reading
-

Mercury shines farthest from the sun in the evening sky on Oct. 29
Mercury will reach its greatest eastern elongation on Oct. 29, marking one of the best evenings to see the planet this fall as it appears farthest from the sun’s glare in the twilight sky.
As the solar system’s innermost planet, Mercury travels…
Continue Reading