SETD2 methylates SRSF2 mutants and inhibits aberrant CEACAM1 splicing and IL-1β–driven inflammation in myelodysplastic syndrome.
Author: admin
-

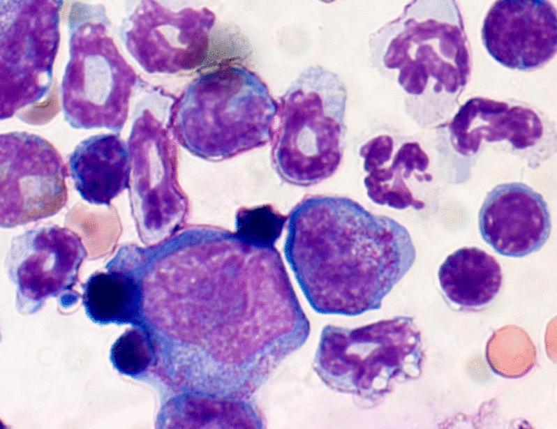
Site-specific methylation of SRSF2P95H by SETD2 inhibits MDSC-mediated proinflammatory niche formation in mouse models of myelodysplastic syndrome | Science Translational Medicine
-

E-MOTIVE: Helping to combat severe maternal bleeding during childbirth | Science Translational Medicine
A simple intervention called E-MOTIVE can save a mother’s life by helping to manage bleeding after childbirth.
Continue Reading
-

Foldamers rescue synucleinopathy phenotypes in multiple in vitro and in vivo models | Science Translational Medicine
A foldamer ligand demonstrates drug-like properties and rescues synucleinopathy disease phenotypes in multiple in vitro and in vivo models.
Continue Reading
-

Do water picks really work? Dentists weigh in.
Perhaps you are one of the many Americans who have a small boxy tank balanced…
Continue Reading
-

Uncovering BAP1 deubiquitination landscape enhances mechanism elucidation and therapeutic precision for BAP1-deficient pancancers | Science Translational Medicine
BAP1, LSD1, and PARP1 roles in nucleotide excision repair are revealed; BAP1-mutant pancancers are sensitive to LSD1i SP2509/2577 and PARPi olaparib.
Continue Reading
-

Resilient nanostructured bioanalytic microneedle longitudinally monitors preclinical renal and hepatic drug clearance and dysfunction | Science Translational Medicine
Resilient and sensitive microneedle biosensor longitudinally tracks pharmacokinetics in skin and detects early signs of preclinical organ dysfunction.
Continue Reading
-

Historic 1994 influenza vaccine cohorts define breadth of antibody and B cell responses toward future influenza A and B viruses | Science Translational Medicine
B cell responses that bound to future H1N1 and influenza B virus strains, but not H3N2 strains, were elicited in adults by the 1994 influenza vaccine.
Continue Reading
-

Changing practice and policy for patients with early pregnancy loss | Science Translational Medicine
Translational science helps to address the unmet need in early pregnancy loss care.
Continue Reading
-

Nanotechnology sensor reads creatinine in seconds for rapid kidney testing
Biosensor reads creatinine in seconds, enabling rapid kidney function testing with high sensitivity for faster, point-of-care diagnostics.
Continue Reading
-

Creating near-term lunar settlements: lessons from space history
March 16, 2026, was the 100th anniversary of Robert Goddard’s first flight of a liquid fueled rocket. It reached an altitude of 41 feet. 31 years later, in 1957, Sputnik began a lonely beep as the first satellite in orbit. In 1969, 12 years…
Continue Reading
