The findings are presented according to the themes and sub-themes that were identified. When less than half the participants mentioned a sub-theme, this is specifically noted. Quotations were translated from Hebrew.
Author: admin
-

Mycobacterium hainanense sp. nov. represents an emerging nontuberculous Mycobacterium associated with chronic pulmonary disease
Clinical presentation and disease progression
A 42-year-old female power plant worker was admitted to our respiratory department on August 1, 2021, due to a recurrent cough and sputum production that had persisted for over eight years and worsened…
Continue Reading
-

Levels and health risk assessment of polycyclic aromatic hydrocarbons in grilled meat in the Kurdistan region of Iraq
Concentrations of PAHs in kebab samples
The levels of PAHs found in the grilled beef, kebab, and grilled chicken samples sold in Sulaymaniyah, Kurdistan region of Iraq, are presented in Table 3. The mean concentrations of Acy, Ace, Flu, Flt, Pyr,…
Continue Reading
-

Association between osteoporosis and rotator cuff tears: evidence from causal inference and colocalization analyses
Demographic characteristics of subjects from the UK Biobank cohort
Figure 2 presents a flowchart detailing the subject screening and analytical process followed. A total of 457 871 subjects were included in the cross-sectional analysis, comprising…
Continue Reading
-

Efficient dye removal from aqueous solution using a hybrid GA@ZnO-AC nanocomposite
Characterization
XRD
Figure 3 shows the phase composition of AC, ZnO nanostructure, ZnO-AC, and GA@ZnO-AC as determined by powder X-ray diffraction (PXRD). The XRD crystallinity pattern of AC shows two broad diffraction backgrounds corresponding to…
Continue Reading
-

Sex based cardiovascular differences in adult and middle-aged hypertensive schlager mice
Animals
The experimental protocol involving animals were all approved by the Indian Institute of Technology Madras, Chennai’s Institutional Animal Ethics Committee (IITM/IAEC/6/NAJ/2020) and Indian Institute of Science, Bangalore. All…
Continue Reading
-

Multi-biological activity evaluation of Sn(П), Zn(П) and Fe(П) complexes based on thiocarbohydrazide schiff bases: synthesis, spectroscopic investigations and fluorescence studies
Materials and methods
Uncorrected melting points of the ligands and their metal complexeswere determined in open capillary tubes on a Gallenkamp electrothermal melting temperature apparatus. 1H, 13C -NMR spectra were measured on a Bruker…
Continue Reading
-

Measuring dissolved oxygen in Miso for forensic medicine and semisolid food analysis
The Hakamata case involved the murder of four family members of a managing director who worked at a miso processing factory in Shizuoka Prefecture in 1966, along with theft and arson. A factory employee, Iwao Hakamata, was arrested and denied the…
Continue Reading
-

Synthesis and photophysical studies of new fluorescent naphthalene chalcone
Valavanidis, A. & Vlachogianni, T. Plant polyphenols: recent advances in epidemiological research and other studies on cancer prevention. In Studies in Natural Products Chemistry, 39, 269–295. (2013).
Continue Reading
-

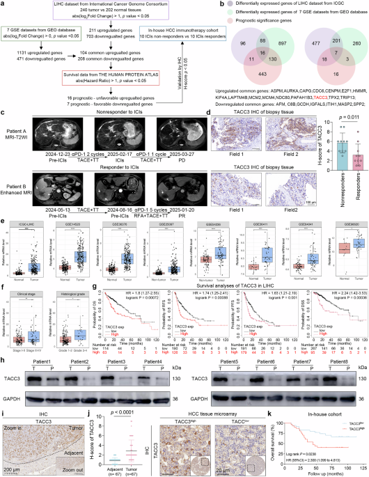
Transforming acidic coiled-coil-containing protein 3-mediated lipid metabolism reprogramming impairs CD8+ T-cell cytotoxicity in hepatocellular carcinoma
TACC3 is overexpressed in nonresponders to HCC immunotherapy
To identify novel genes driving resistance to immunotherapies and progression in HCC, we performed systematic profiling for novel drivers among differentially expressed genes (DEGs) via…
Continue Reading